Composites
Les composites dentaires offrent la possibilité de rétablir l’intégrité des dents avant et arrière, lorsque celles-ci sont affectées.

Réconciliez-vous avec votre sourire grâce à des techniques dentaires innovantes.
Notre engagement est de rétablir l'harmonie esthétique de votre sourire grâce à des techniques de pointe.
En comprenant vos préoccupations concernant la couleur, la forme, et l'alignement dentaire, notre cabinet esthétique dentaire vous offre des solutions personnalisées.
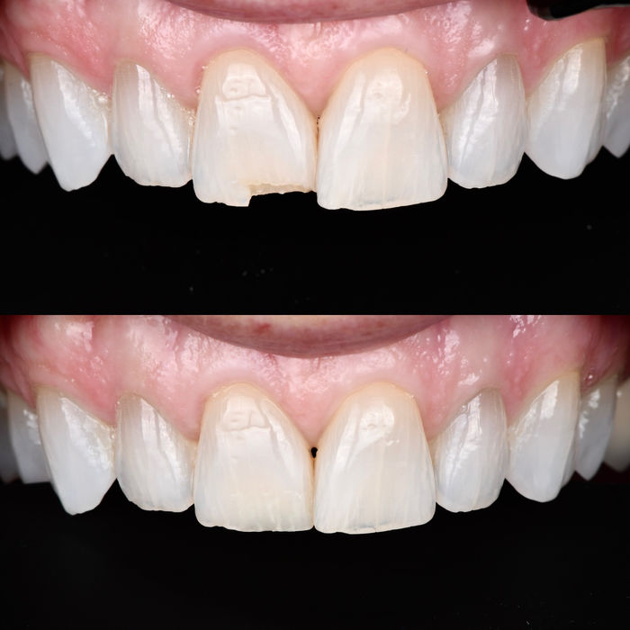
Qu’est-ce que les résines composites dentaires ?
Les résines composites dentaires sont des matériaux de restauration utilisés en dentisterie., Elles sont modelées sur la dent, puis durcies avec une lumière spéciale. Polyvalentes et esthétiques, elles traitent les caries, réparent des dents abîmées, et offrent des solutions cosmétiques comme la correction de fissures ou la modification de la forme dentaire.
Elles constituent une alternative moderne aux matériaux traditionnels de restauration dentaire.
Quand avoir recours à la résine composite ?
L'utilisation de résine composite dans les procédures de restauration dentaire offre au praticien la possibilité de rétablir la forme et la teinte naturelles des dents. Les composites sont fréquemment employés dans divers contextes, tels que :
Le rebouchage d'une cavité après le traitement d'une carie,
Le remplacement d'amalgames,
Le remplacement de traitements anciens, endommagés, fissurés, voire cassés,
La correction de défauts localisés de l'émail, particulièrement au niveau des collets dentaires,
La gestion des conséquences morphologiques des fractures dentaires,
L'harmonisation de la forme des arcades dentaires,
L'amélioration de l'aspect esthétique des dents.





















